
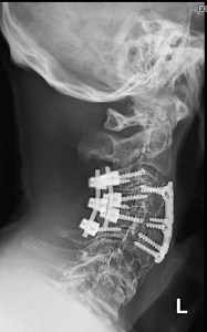
Lots of hardware holding my neck together
This is my neck. It doesn’t look pretty but with this amount of hardware holding it together it’s pretty strong. Quite how it got to be such a mess is a long and convoluted saga but it’s worth telling if only to warn just how badly wrong surgery can go.
In 1977, just before I was to start my compulsory military service, I went on holiday to South Africa with my sister and friend of hers and the friend’s brother. We met up in Pietermaritzburg where my sister was at university and made our way to the east coast of South Africa to a small town called Uvongo. We found the campsite and quickly pitched camp. I made my way to the beach whilst the others went shopping.
The surf on the South African coast can be big as there are no reefs offshore so it helps to be surf-wise. The tide was out and the body-surfers were making their way out to the bigger waves, diving under the breaking waves and surfacing once they’d passed.
A wave broke and tumbled towards me, I dived as stylishly as I could straight into the sand. My head hit the sand, swiveled to the left and bent backwards and I became a quadriplegic. Coughing seawater I somehow got my head back to the surface and legs and arms started to move again. I staggered a few steps then stumbled back to the shore.
That afternoon I went to see a local doctor. He was in an old cottage in a quiet part of the town and was totally bored. I explained what had happened.
“Squeeze my hands” he told me.
I did.
“Here’s a prescription for some pills that should ease the discomfort in your right shoulder”.
“So I’ve pinched some nerves in my neck?” I asked.
“Yes, something like that” came the reply.
And that was it.
20 years later and whiplashes to the neck in a military parachuting jump, a car accident and a mountain bike accident, I was in trouble. I’d had crippling migraines since leaving university. Now I had electrical like nerve pain in my shoulders to boot. It was time to see a neurosurgeon.
The same surgeon who’d fixed my spine after gunshot injury sustained during military service way back in 1979 put the MRI film of my neck up onto the light box. He’d done a good job then so I had a lot of faith in him.
“That’s giving you headaches” he said, pointing to a very distinct constriction in the spinal cord channel. Even to my untrained eye it didn’t look good.
I mentioned that on a recent trip to Cape Town a local neurosurgeon had fitted me in for a quick consult. He’d said that on the strength of the X-rays that I probably needed surgery although a MRI would be necessary to confirm it (I didn’t have the time for a MRI).
“Why didn’t you get it done in Cape Town?” the Zimbabwean surgeon asked.
“He only fitted me in as a favour” I replied.
I only realised years later that the Zimbabwean didn’t want to do the surgery. By the time the surgery was done some months later I’d discovered the surgeon was 74, certainly not in his prime but he assured me that it was routine. When I walked out of the hospital after 6 days I was convinced the problem was fixed.
After 3 months I had a final consult and all the adverse symptoms were gone.
“Thank goodness” the surgeon said with relief, “I don’t need to see you again”.
We discussed other things for a short while and I went on my way. No follow-up X-ray was mentioned.
By the end of 2009 I was dropping things and my left shoulder had become very weak. I was advised to go to Johannesburg in South Africa. I duly sent a stack of MRIs to the recommended surgeon and the reply was; “You need surgery!”.
Early 2010 found me in Milpark Hospital in central Jo’burg.
“These MRIs are terrible” the surgeon commented. “Do you mind if we do them again?”.
I was not surprised. The machine in Harare was old and the collar for the neck MRI was broken. A plan had to be made Zimbabwe style and the results were indistinct. So I agreed. Fortunately it was covered by my medical insurance.
The next day I was being prepped for sugery when the surgeon came past.
“Those MRIs, it’s a good thing we redid them”
“Why’s that?” I asked.
“Because it’s worse than I thought – it means we are doing the right thing!” came the response.
After 5 hours of surgery I woke up in agony. It went from bad to worse after that.
On the 4th night I woke up in the early hours and couldn’t get my right arm off the bed. My left arm was slightly better and I could just reach the handle on the chain over my bed. The nursing staff were puzzled and insisted it could not be swelling on the operation site as that only happened up to the third night. The surgeon was concerned and redid all the MRIs. He told me that he didn’t see anything he wasn’t expecting to see though the report that got back to the referring doctor in Zimbabwe clearly stated there was swelling, and pressure on the spinal cord, at the operation site. Evidently my body hadn’t read the text books.
The pain eventually subsided but I never got the full function back to my right arm and hand and now have had to become left-handed (with limited success). Weakness to my left shoulder resulted in surgery to it to decompress a pinched ligament but that was not wholly successful and I’ve had to give up swimming as a result.
In early 2014 I was in trouble yet again – falling over my own feet and eventually had to admit I needed two walking sticks instead of the one I’d used for the past 35 years. My GP referred me to Dr. V. He put the images up on the light box and could hardly contain his excitement (beware of surgeons who sense a challenge – they love challenges).
New MRIs were ordered and the news, once again, was bad.
“You need to make a decision soon. This degeneration is moving quickly” Dr. V. cautioned. Unfortunately I’d already booked to go to a bucket list event; a World Horticultural Congress in Brisbane Australia. By the time I got back I was in further trouble so hurried up and booked the surgery.
“This is to stop the rot” Dr. V. said from behind his surgical mask as I was wheeled into the operating theatre. “Anything else you get back will be a bonus”. The procedure went well with no complications and the rot was stopped but there were no bonuses. Dr. V. had been as good as his word.
Recently I went back to Dr. V. for a checkup on the neck and to asses a potential problem with my lower back which is starting to show signs of degradation below the original war injury that I sustained in the Rhodesian military in 1979 (this is accounted in https://gonexc.com/reflections-on-the-first-half-abridged-and-mostly-expurgated/). It was well treated by the standards of the day but now if you look at the X-ray on the left it’s possible to see where one disc has collapsed below the L4 vertebra and I felt that my gait and balance had suffered as a result. Dr. V. wasn’t so sure and sent me off to see a neurologist for nerve function testing.

My lower back. Look for the collapsed disc between the 2nd and 3rd vertebrae from the bottom.
I got chatting to the technician who did the actual tests and discovered that he’d tested my hands back in 2009 in the big government run Parirenyatwa hospital. I was curious to know if it was still running as it had closed in 2019 when all the junior doctors had gone on strike over pay so low that they could not afford to feed themselves and get to work. When the government had stone-walled the doctors the senior doctors had also gone on strike in support and they were fired too. A wealthy entrepreneur had offered to pay the junior doctors a useful wage but they replied that even if they could get to work there was nothing in the hospitals to work with – no bandages, syringes, gloves, medication etc.
“The junior doctors were reinstated – well those that hadn’t emigrated were – but the senior doctors weren’t and now there is no-one to run the departments” said the technician. So the hospital remains dysfunctional. Which applies to many hospitals around the country.
Fortunately for me I can afford the local private healthcare system which is adequate for most things. For the more technical I have an offshore policy that I have used in South Africa. The vast majority of Zimbabweans have no health cover at all and no way to pay for any.
I have been out of Zimbabwe for 10 days now, staying in the USA where my sister is very ill. In that time the unofficial exchange rate for the Zimbabwe dollar to the US dollar has plunged from 30:1 to 40:1. Nobody except the banks and government use the official rate (called the interbank rate) at 18:1. It is illegal to use anything but the interbank rate but even a fuel station chain, part owned by the government, is now openly charging US dollars for fuel. Just before I left Zimbabwe I was in a big hardware store in the industrial sites of Harare buying electrical cable for a borehole pump. The customer next to me asked if he could pay for a car battery in US dollars. The till operator nodded and printed out the relevant invoice. At the end of the counter the man operating the in-store bureau de change was asleep. The electronic notice board for the exchange rates on offer indicated the official interbank rates. Nobody was interested as the store was offering the black market rate. Yet the central Reserve Bank and the finance minister continue to trumpet that the economy is on course to de-dollarize i.e. go back to the Zimbabwe dollar.
I read somewhere that the death toll from the economic impact of the current COVID-19 coronavirus is likely to be higher than the direct death toll from the virus itself. Given the disastrous state of the government health system this is difficult to imagine. Large swaths of the population are malnourished and undernourished. Many are immune compromised with HIV and its effects. Should the virus get to Zimbabwe in any substantial force the impact is going to be massive because those most at risk are the old, infirm, malnourished and immune compromised. It won’t be pretty.